首页
1
商品介绍
2
卫教园地3
https://www.kid-doctor.com.tw/ 林孟勋诊所

1. 如果医师说您小孩有喘鸣声?

小朋友因咳嗽而看门诊时,如果医师说您小孩有喘鸣声,您就要注意:下次有咳嗽就要尽快带给小儿科或家医科医师检查,看看是否又有喘鸣声出现,不可以当作是感冒而想再拖几天。治气喘越早用药效果越好,有太多气喘病人常被误当做感冒,因而使用不该用的止咳药、或疏忽了治疗。

其次,每次治疗都要服药(或用吸入式药物)一直到医师说可以停药才停药,至少要检查完全听不到喘鸣声为止。很多人都是咳嗽好一点就自作主张停药,也未再追踪检查,而支气管的炎性反应此时仍未消失,治疗不彻底就可能使气管一再敏感而发作喘鸣,久后可能造成气管的纤维化或肺功能受损,因此要有耐心与医师合作。

如确定是气喘病,最好作记录,包括每次发作前曾碰到什么过敏原或空气污染、多久发作一次、每次要多久才获得控制。对可能的引发因素,应尽量避免接触(例如二手菸)。另外也该准备一支「尖峰呼气流量测定计」,每天自我检查气道的阻塞程度,以提早使用药物。

常常反覆有喘鸣的病儿,应考虑一段时间每天持续使用吸入性类固醇或预防性药物,或口服长效性支气管扩张剂,看是否可避免发作的机会。

 

2. 咳嗽时如何止咳?

小儿会咳嗽主因是:气管或支气管有了过多的分泌物,而藉由咳嗽,才能将这些分泌物排出去。因此咳嗽是保护人体的基本反射动作,没有咳嗽、则分泌物排不出,对人体反而有不好的影响。有咳嗽时,重要的是找出咳嗽的原因,予以治疗,而不是一味去压制咳嗽。咳嗽大多是病毒性支气管炎引起,而且常在三至五天后,才由干咳转为有痰,此时要靠咳嗽才能把痰排出,咳嗽增多是自然现象,不是「越吃药越咳」。支气管炎往往有一定的病程,除非发生反覆气喘或有继发性感染,多半在一段时间后会自然而愈。

治咳嗽药物成份可分为三种:化痰剂、镇咳剂、润喉剂。被公认有效的镇咳剂很少,通常应该只用於初期的干咳,或夜咳影响睡眠时,而两岁内或有痰的人,就不该用镇咳剂。咳嗽时咽喉部会干痛刺激,润喉剂可用来减低刺痒感,是否能因此止咳,仍有疑问。专家并未认可任何一种化痰药的药效。多喝温水及吸入蒸气,效果可能更好。

一般市售咳嗽成药和咳嗽药水,在临床实验上并无治疗意义,吃不吃其实没什么差别。如咳嗽好了,绝大多数是身体免疫力的关系,并非吃咳嗽药水的功劳,从专家眼光看,咳嗽药水只是安慰剂。对气喘病儿则不可压制「咳」,而要治疗「喘」,必须使用支气管扩张剂及抗炎剂,才能控制病情,强力止咳反而使病拖得更久。

3. 有气喘时最好不要用类固醇,以免有不良副作用?

气喘是指咳嗽的小儿,听诊时有咻咻的喘鸣声,且已有数次的类似情况。气喘的变化主要是,支气管因过敏原或其他非过敏因素之刺激,造成气道的发炎、内膜水肿、分泌物增加、肌肉层收缩,所以病人会胸闷、咳嗽(特别是夜间、清晨)、觉得有痰、甚至喘气嘘嘘、说不出话来。这些病变经过适当的治疗,可以恢复原来的正常状态。

过去气喘的治疗,著重让支气管扩张,使病人能呼吸顺畅。近年医界发现,光是让支气管扩张是不够的,一定要消除支气管的发炎,才能有效控制气喘,并防止反覆再发,亦能保护肺功能不受破坏。支气管扩张剂是仅可使症状「暂时缓解」的治标药物。类固醇却是有抗炎作用的一种「控制及预防」之治本药物,如能提早使用,必可避免气管的持续发炎、甚至导致变形及纤维化,比支气管扩张剂更重要。

类固醇固然有一些不好的副作用,但只要是由医师处方,在医师指导下使用,其实没有什么危险。必要时口服四天至一周,并不值得担心。如要长期治疗(包括鼻过敏毛病),就要改以喷雾吸入剂做为给药方式。吸入剂型(或鼻喷剂)的药量很低,长期使用虽偶有暂时发育迟缓的疑虑,但研究已证明对最后的成长高度,并没有什么影响,副作用极低,家长们应放心与医师合作,不要一味排斥。

 

4. 咳嗽太久会变成气喘?

有些人对疾病有因果关系倒转的错误想法。例如「肚子很痛最后变盲肠炎」、「发烧太久没退成肺炎」、「鼻涕流不停而导致鼻窦炎」。其实正确的讲法应该是:因为得了盲肠炎,所以才引起肚子痛,如果只是肠炎或拉肚子的痛,则再怎么痛,也不会转为盲肠炎。

同理,不是发烧太久没退,才变成肺炎,而是因为有了肺炎,所以会一直没退烧,如果只是普通喉咙发炎引起的,烧早就退了。但是产生肺炎并不是没有去退烧的关系,而是细菌或病毒造成(可能一开始就侵犯了肺部,或其他呼吸道感染后,因抵抗力降低,细菌或病毒乘虚而入)。同理,是因为发生了鼻窦炎,难怪鼻涕会流个不停,而不是鼻涕会流个不停,才变成鼻窦炎。

     很多小朋友因为先天体质,在感染、过敏原刺激、空气污染时,引起支气管的过度反应,结果有胸闷、咳嗽、痰多,甚至出现呼吸不顺的现象,亦即气喘的变化。这样的病人可能未妥善处理、或未能检查出来,或是支气管反覆受到刺激,结果咳嗽时好时坏、断断续续,当最后终被诊断有气喘病时,家长都以为是咳久了才变成气喘。其实是因为有气喘,所以才会咳那么久,不是气喘病的话,咳嗽早就好了。但即使是气喘,能对症下药、并在必要时采预防措施,也很容易控制。因此常咳嗽不易「断根」的小儿病人,宜由小儿科医师及早治疗。

 

5. 是感冒还是鼻子过敏?

感冒与过敏,两者都会流鼻水。如是空气中的病毒感染上呼吸道而引发鼻水的症状,谓之感冒,但如是过敏原所致,叫做「过敏」。流鼻水时如果有发烧,就一定是感染造成。但没有发烧,可能是过敏,也可能是感染,因为有时身体对此病毒的反应小,就没有发烧现象。像成人的感冒(流鼻涕、鼻水为主),几乎都不发烧。

常常流鼻水、鼻塞的人,年龄小,感染居多,年龄越大,过敏的情况渐多。健康成年人一年的「呼吸道感染」三、四次而已,其中又以罹患感冒为多。如果一个成人或青少年,常常觉得有「感冒」症状(甚至每个月都有),可能其中有很多次是过敏而已,不是感冒。

一个平常各方面都很健康的人,突然一整天都有清鼻水流个不停、打喷嚏(但很少连续打三个以上),加上鼻塞、咽喉附近干刺痛,咳嗽不多,不发烧,有些头痛或晕感(幼儿可能有些发烧),四、五天后鼻水变得较浓黄,大约十天所有症状慢慢不见,这样的变化可以说是感冒无疑。如果一整年三不五时都会反覆流清鼻水、鼻塞,但不发烧,也无咽喉干痒现象,胃口精神不受影响,有时每天只有一段时间有此症状,打好几个喷嚏、紧接著流鼻水,其他时间都好好的,但会拖好几个月,这种状况就很可能是过敏。遇冷变化而流鼻水,是一种过敏,一般人常误当这是感冒,也难怪会误以为感冒与冷有关了。

6. 勿将气喘当做感冒!

有些咳嗽病人,检查时在胸部可听到咻咻的喘鸣声,尤其用力吸气后、再用力吐气就会出现。有喘鸣声代表气管水肿、肌肉层收缩及分泌物增多,空气呼出去时,像是通过窄巷或门缝,就发出尖锐的咻咻声。这样的病人,外表不见得有不舒服或呼吸困难,不过一定是支气管有发炎变化才会如此,咳嗽就是反映这些发炎的生理现象。有喘鸣不一定代表有气喘病,但正常小孩是不该有那么多次喘鸣现象。

气喘病的变化是在支气管,而不在肺部。这些变化是可逆性的,但如不小心彻底治疗,久而久之也可能形成支气管的纤维化,使肺功能退化。病儿之病变,有可能只是特发於两岁内幼儿的毛细支气管炎,也有可能是一些病毒感染造成的支气管炎,一过了五、六岁就不再出现;但也很可能是因过敏体质导致的支气管性气喘,或许还会终身随时发作。如果咳嗽带喘鸣有三、四次以上,本身又常流鼻水不易痊愈,或曾被诊断皮肤有湿疹,家长也有过敏病史,则气喘病的可能性非常大。

气喘常被误以为是普通感冒,这是习惯上大家把「有咳嗽、鼻水」 一律说是感冒的关系。有的气喘是因病毒感染呼吸道、也就是俗称的「感冒」而引发,但此时已经不止是感冒,而变成气喘了。如继续采用感冒的诊断名与治疗观念,可能会失掉警戒心而误了治疗。

 

7. 如何为发烧的小儿退烧?

多久须要退烧一次?

退烧药多兼有止痛作用。退烧措施主要是让发烧病儿暂时不难过,或减少身体各部位的疼痛。要不要退烧,主要是看病儿的状况,而且最好能确定肛温或耳温是在摄氏卅八度半以上,才采退烧措施。小孩若是会吃能睡能玩,精神不错,就不必积极退烧。对身体最无害的物理方式是温水(摄氏廿一度)拭浴,多做几次倒无妨;宜避免酒精擦拭法。如使用退烧药物,原则上一天内不要超过四至五次,每次最好有四小时以上间隔,以免造成过量或药物中毒。

怎样使用退烧药物?

所有退烧药使用都应遵照医师嘱咐,而且不要因退烧心切而数种并用。最普遍两种口服退烧药,包括含「乙醯氨基酚」成分药物(如普拿疼、利撒尔),通常以儿童剂量小包装者(一颗为80120毫克),每十公斤体重每次用一颗,每日不超四次,就属安全范围。「非类固醇抗炎剂」(如马盖仙)药物是另一选择。十六岁内要避免使用阿斯匹灵成分药物(如温刻痛)来退烧。如口服有困难(不易灌药、呕吐、昏睡者),则可改用肛门塞剂,不过直肠的吸收比较不稳定,而小儿拉肚子时亦不宜使用。塞剂有各不同剂量,一般周岁小儿每次以12.5毫克塞剂半颗为宜。建议不要使用退烧针来退烧。

 

8. 呕吐及腹泻的护理.

呕吐

暂时禁食六小时。如口渴,可尝试给少量水份润喉,避免喝大量水又引发第二波呕吐。如持续呕吐,应该找医师诊疗,检查体内有无脱水或电解质变化,必要时要给予输液治疗。

腹泻

先禁食六至八小时,让肠胃休息。此期间给小儿喝医嘱之「葡萄糖电解质溶液」,尽量不定时饮用,但要避免喝运动饮料,因其太甜会使腹泻更厉害,且电解质过低,不足以补充。八小时后如腹泻改善,以奶为主食的婴儿可试给半奶(水份一样但奶粉量减半),一至三天如腹泻未改善,不宜继续吃冲淡之奶粉(任何奶粉都不该长期冲淡使用),而改用特殊配方奶粉(如含牛奶蛋白之去乳糖奶粉、含植物性蛋白之去乳糖奶粉),以减少对肠道之刺激,此时原来的奶要完全暂停,直至腹泻好转,再慢慢调整回来。

    对年龄稍大,已不须以奶为主食的小儿,应暂停喝奶两三天,开始吃些米汤、开水冲的米麦糊,或稀饭、土司等不油不甜的清淡食品。另一方面饮食以清淡开始,少吃油腻、太甜的食物或饮料。在初期补充水分及电解质后,较大的病儿可吃稀饭、麦粉、白土司、馒头,佐以不油腻的素菜。水果则可吃芭乐、苹果、香蕉。

9. 患一般感冒时仍可以注射疫苗?

对小儿生命有较大威胁的疾病,才会被医界优先发展出疫苗。注射疫苗,可以让小儿在未接触这些疾病前,先经过类似「提前感染」的过程产生抗体,下次碰到时,就不会再得病。预防这些疾病,非常重要,家长宜把握时机、排除万难、不要拖延,可以接种就尽可能赶快接种,否则该有抗体时却没有,可能会使小儿身处危险中。

人体对一般感染的免疫作用,与注射疫苗后的免疫作用,两者并不冲突。亦即生一般小病时打预防针,疾病不会因此而变得更为严重,而疫苗也不会因本来有病而效果不佳。如果感冒时不能注射疫苗(因为有危险),那么注射疫苗后第二天才感冒,不是同样有危险?这时疫苗又不能「抽」出来,小儿岂不随时充满危机?

     医护人员在幼儿有普通呼吸道感染时,暂缓注射疫苗,最主要是避免诊断混淆。因少数疫苗接种后会发烧,生病时如接种而发烧了,恐不易分辨是感染的烧、或只是疫苗的反应;另外因感染疾病本就可能逐日有变化,但注射疫苗后如刚好出现新症状或恶化,家长常会归咎是打预防针才如此,为减少误会,才有「感冒不能打预防针」的保守作法。卫生署预防接种手册早已规定:感冒可以打预防针。其实只要在疾病急性期(最初几天症状还不稳定),或正在发烧时暂缓接种即可,如仅有咳嗽、鼻水这类普通症状,都可以接种而安全无虞。

10. 打预防针的真正禁忌

 

接种时要注意当时所吃的药物

只要没发烧,在得了一般的呼吸道感染,尤其是小感冒时,都可照常打预防针。其实与其注意接种时有无感冒,不如注意正在服用的药物是否会干扰到疫苗的效果,如正在使用类固醇,则须暂停注射疫苗。又如吃阿斯匹灵要暂停注射水痘疫苗,最近曾肌肉注射免疫血清者,要等三个月再打麻疹预防针,若由静脉注射者,则要等十一个月。

什么才是接种的真正禁忌?

有高烧时,由於可能代表有比较严重的感染疾病,此时宜避免注射疫苗。如已知小儿对某疫苗,或上一次接种时曾有高烧或痉挛反应,且确与疫苗有关,则应暂停再注射。另外,在其他严重病后而体质虚弱,并有明显营养不良现象、有进行性神经痉挛疾病、先天性免疫不全、长期使用可降低免疫力药物(如类固醇、抗癌药)、小儿有进行性痉挛、肝肾心血管的重症者,都该停止接种。其实,真正的预防针禁忌(绝对不能注射状况),可说是极少,即使是有急性感染,在症状已缓和些,而且没有发烧了,就该赶快补接种。毕竟预防针的重要性高於一切。未照规定时辰注射疫苗,让小儿身上缺乏应有的抗体,其实是让小儿随时身处危险之中。所以不应常以「感冒」为由,延宕接种的时间。

11. 一岁后要断「奶」瓶

 

不少人以为牛奶很有营养,小孩要多喝奶,所以许多三、四岁的小朋友,仍每天抱著奶瓶喝四次奶。「牛奶对小儿是很有营养的食品」,这是指出生六个月内、无法喂母奶的婴儿而言。在出生满六个月后,无论是母奶或配方奶粉,其热量与营养、蛋白质,对日渐发育的小儿,已开始不够了。此时须要的是添加多元化固体食物,如米麦糊、蔬菜泥、肉泥、肝泥、果泥、蛋黄泥等,训练咬嚼吞的动作,以作断奶的准备,断奶不是不喝奶,而是改变喝的方式及次数。

出生六个月后,使用奶瓶喂奶的次数,可以减少到四次,九个月大后只要三次奶,周岁后就只要每日两次即可,而奶水变成是补充食品,不再是主食。过了周岁,由於热量与营养来源非常多,而且胃肠对各种构造成份的奶,都能吸收,所以喝什么奶已不是那么重要了,百分之八十五以上热量要靠固体食物为来源,而奶变成副食品。

     周岁后不但喝奶次数要减为两次,并且要尽速练习以杯子(或吸管)来喝,不要再使用奶瓶,至少一岁半以后,就要把用奶瓶的「瘾」完全戒掉,不再吸奶睡觉,以防止「奶瓶性蛀牙」及齿列或嘴型不正。另外,不要再喝那么多次奶,才能有较多时间尝试各种固体食物,才不致偏食,也避免因纤维质太少而造成便秘,同时由各种食品能得到均衡的营养,让孩子有更好的成长。喝太多奶,显然是无必要的。

12. 不要将婴儿米粉、麦粉放在奶瓶里吸食

 

到了五、六个月大,一般家长都会开始购买米粉、麦粉(有人是以米磨细成米仔麸),加在奶瓶里,以便让婴儿「能吃饱一点」。确实,这时候婴儿肠胃系统的一些消化酵素(如淀粉酵素)已成熟,可以开始适应谷类做为副食品。不过这样做是不适当的。

吃副食品主要是为了做断奶的准备。断奶的意义是逐渐由纯液体变成固体、由奶水变成多元化食品、由吸吮变成咬嚼、由奶瓶变成汤匙筷子、由每日五次奶水变成周岁后的一两次。米、麦粉是已添加不少营养成份的西方式现成食品(加水可食),等於是台湾的稀饭形式。我们看到国外的家长如将稀饭放在奶瓶喂小孩,一定觉得好笑,国外的人看到我们把米粉、麦粉放在奶瓶喂,也必觉得好笑。

将米粉、麦粉放在奶瓶,太少没有意义,太多则不易吸吮,有时因此太用力而可能造成吸入性肺炎。如长期以奶瓶吸食米麦粉,更无法戒掉用奶瓶习惯,而种下将来奶瓶性蛀牙原因。应该是选一餐的奶水,先倒出一些放在碗里,加适量米(麦)粉,搅成糊状,以汤匙试喂完,奶瓶剩下的奶还是以吸食方式。当婴儿逐日适应吃奶米糊,且份量增加后,整瓶奶都可倒入碗里,以后就可直接吃一碗奶米糊,而少用一次奶瓶了,如此才能慢慢戒断奶瓶。

13. 学讲话口齿不清,剪舌系带就可解决?

 

幼儿学讲话时,如发音含混不清,很多人常以为是舌系带(舌下黏著牙龈内缘的小系带)过短、黏得太紧,影响到舌头之故,因此要求医师将系带切断,让舌头能自由转动,甚至有人未雨绸缪,在五、六个月大就先处理,避免以后的呀呀学语,发生困扰。

其实新生儿的舌系带,正常状况下本就是黏得很紧,无须处理。婴儿学讲话主要是「听」及「学习」,而其关键在於完整的口腔构造(如没有颚裂)、正常无碍的听觉,和良好的脑部语言中枢发展,加上足够的外界刺激。舌系带的长短倒不是最重要的。

真正的舌系带过短,相当罕见。幼儿学讲话,到了一定年龄如仍出现发音不准现象,多数是语言中枢发展的问题或未成熟,造成舌头使用位置及吐气有误,不关乎舌头的长短。这样的孩子还要先考虑耳膜与听觉神经是否健全,如果正常,则可能要送交语言治疗师或复健师,以特殊的训练,校正其发音方法,光是剪舌系带,无济於事。

     舌系带过短会影响的可能只是卷舌音,只有卷舌音才须要有足够的舌头长度。不过学习卷舌音应是五、六岁以上的事,如真的有问题,五、六岁以后再处理仍来得及。何况现在以纯正卷舌发音的机会已很少了。不必要的剪舌系带,如果造成感染、出血或反而沾粘更紧,那就不划算。做舌系带手术前,家长们宜三思。

14. 常见呼吸道感染的病程

 

常见小儿急性呼吸道疾病,绝大多数是病毒感染引起。由於没有特效药可以克制病毒,所以呼吸道感染多有其自然的病程。

1、   感冒:约五至十天,一般都不发烧,幼儿也许会烧一两天。症状以喷嚏、鼻涕鼻水为主,很少有咳嗽。有的会有声带发炎而声音沙哑数日。

2、   流感:一定都会烧三、四天,咳嗽厉害,加上虚脱疲倦,整个病程要两周。通常多在秋末及冬季才有这种病,传染率颇高。

3、   毛细支气管炎:是一两岁内幼儿特有的病,发烧三四天(也有不发烧的),咳嗽有痰或喘声,约十天到两周才改善,有些甚至拖到一个月。

4、   支气管炎:很多感染会造成支气管炎,如流感或类流感、麻疹。主要症状是咳嗽、且要十天至两周以上。有些病人有喘鸣现象(常要听诊才知道),此时常会烧三至五天,如未针对喘鸣治疗,咳嗽可能断断续续两三个月,一直好不了。

5、   急性咽炎或咽扁桃腺炎:发烧约三至五天,多数是病毒性,如为A族链球菌引起的,用抗生素可缩短发烧时间,有些会并发猩红热或风湿性心脏病。

6、   哮吼:喉炎加支气管炎,约十天。发烧一至三天。

15. 治感冒要用最好的抗生素,才会早点痊愈?

 

所谓感冒就是病毒侵犯上呼吸道(即喉以上),所造成症状不外有点头晕、喷嚏、鼻水、鼻塞、鼻涕、咽部干痒、轻度咳嗽、很少发烧(除非两岁内,但也只一两天)或全身不舒服,并在一周左右自行痊愈。其他各式各样的呼吸道感染,绝大部份也都是病毒造成。

目前对多数呼吸道病毒并无药物可用。俗称「消炎」药的抗生素,也就是抗微生物药物,其实只是用来治疗细菌感染的,对病毒并无效果。服用抗生素并不能使感冒早一点痊愈,即使用「最好的」、最「重」的亦没有用。很多状况下,用了抗生素后「结果」好转,其实是疾病的病程高峰过了,病人自身免疫力已克服感染的关系,并非抗生素的功劳。

大部份的呼吸道感染,包括感冒、流感或类流感、支气管炎、毛细支气管炎或气喘、一般喉咙痛或咽炎、哮吼症或喉炎、各种出疹疾病、腮腺炎等传染症,几乎都是病毒造成,使用抗生素的机会很少。家长不宜自购抗生素给小孩吃,也应避免求愈心切,给医师过多的压力,要求使用「最好的消炎药」。

不过如是急性A族链球菌咽炎或扁桃腺炎、细菌性中耳炎、副鼻窦炎或化脓性鼻炎、急性颈淋巴腺炎,就可能须抗生素来控制了。

16. 喉咙发炎厉害就会引起咳嗽?

 

多数人看到小孩咳嗽,都直觉一定是喉咙发炎才如此。但事实上单纯的喉咙发炎是很少引起咳嗽的。会有此误解是因为任何呼吸道发炎,都会先在入口的咽部有刺痛反应,然后再产生其他变化。而且咳嗽时整个咽及下面的软骨、神经、肌肉一直都在用力而造成痛,如此就以为是这些地方在发炎,才产生咳嗽。

造成咳嗽的主因是气道发炎刺激了「咳嗽接受器」,此接受器多在喉、气管、支气管,副鼻窦及耳朵也有一些,不过咽部却没有。因此咳嗽代表了喉、气管、支气管的发炎或有过多的分泌物,而不是咽部出现问题。一般人(包括医师)常强调鼻水倒流的问题,以为将鼻涕抽干净或「洗洗」喉咙,就可以止咳,但此观念并不正确,此做法也不会有效,因为鼻涕总是不断再产生,并不是抽一次就不再分泌。

    咳嗽最重要且最多的原因是病毒性支气管炎。感冒病人很少有咳嗽,如果咳嗽明显且拖了好几天,还是要称为支气管炎较适当。最常造成支气管炎的病毒包括腺病毒、呼吸融合细胞病毒、流感病毒、副流感病毒,其次是鼻病毒、肠病毒、疱疹病毒。细菌很少造成支气管炎,如果有的话,是以霉浆菌、百日咳菌最多。总之咳嗽会动用到喉咙,一直用力当然会痛,但咳嗽主要还是支气管发炎造成,因此要由医师听诊肺部,而不是去「洗」喉咙。

17. 这波B型流感 痛到走不动....

 

    这波B型流感最大特色是全身酸痛、非常不舒服,肌肉发炎机率是A型流感的五至十倍,许多病人痛到无法走路,必须坐轮椅求诊。医师还提醒家长,许多孩子患病后会一直昏睡,一天昏睡超过廿小时,必须小心是并发脑炎,要立刻就医。

    长庚儿童医院感染科主任黄玉成表示,这波B型流感的典型症状是全身酸痛、厉害头痛,发烧长达三、四天,甚至七、八天,咳嗽、流鼻水等症状出现得比较晚。许多病人发烧后期开始出现肌肉发炎症状,部份病人痛到不能走路。他说,这次B型流感造成许多病人并发脑炎,长庚就收治了十个脑炎病人。病人从三、四岁到小学生都有,这些孩子一天到晚睡觉,一开始许多医师忽略,以为孩子只是感冒不舒服。其实只要一天睡超过廿小时,就要注意是否并发脑炎

       台大医院小儿感染科主任黄立民表示,B型流感造成肌肉发炎的机率,是A型流感的五到十倍,而且这波流行出现许多重症患者,有些脑炎患者会出现幻听、幻觉,或抽筋、昏睡症状,家长要特别当心。

    医师指出,过年前发威至今的流行性感冒多为B型,且半数属於维多利亚家族病毒,并非疫苗保护的山形家族病毒,疫苗效果大打折扣。但医师和卫生署同声强调,疫苗仍是预防流感唯一有效方法,该打疫苗的人还是得打。

    长庚儿童医院感染科主任黄玉成表示,该院春节前一周就分离出六、七十株B型病毒,约十个病人出现脑炎。这些病毒送卫生署疾病管制局进一步鉴定病毒株,其中不少病毒属「布里斯班株」,并不是疫苗保护的「上海株」。

    台大医院小儿感染科主任黄立民解释,B型流感病毒分为「山形」和「维多利亚」两大家族,目前疫苗所保护的上海株属於山形家族,但异军突起的布里斯班株则属於维多利亚家族,两个家族病毒差异较大抗体无法彼此保护。

    卫生署疾管局实验室人员坦承,这波流行的确出现许多非上海株的B型病毒,其中包括布里斯班株和香港株都是维多例亚家族。

    世界卫生组织每年二月预测来年可能流行的流感病毒型别(疫苗成份含两种A型和一种B型),各药厂据此制造疫苗。黄立民表示,B型流感通常由山形和维多利亚家族轮番流行,有人好奇疫苗为何不「统包」两家族病毒?如果两种病毒都纳入,疫苗成分增加、难度也增加,使成本提高。

    

    黄立民指出,流感疫苗的保护效力原本就不是百分百,大约只有七成,加上这波流行约有半数不是上海株,七折八扣下来,疫苗可能只剩下一半保护效力。但他也强调,如果不打疫苗,就一点保护效力都没有,疫苗仍有其价值,抵抗力差的人最好还是打。


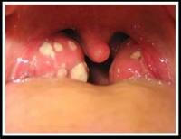
18. 关於A型链球菌咽喉炎..

 

A族溶血型链球菌之所以可怕在於其感染后如果没有经过完整的抗生素治疗,经过一段时间后会对肾脏和心脏造成破坏。风湿热是由於罹患A型链球菌咽喉炎一至五周后所引发的全身性免疫发炎反应,包括心脏、关节、脑部及皮肤等器官,其中以心脏的侵犯最为重要。A型链球菌咽喉炎感染后约有百分之三的机会造成风湿热,因此当儿童喉咙痛,喉咙发炎时,家长不可掉以轻心。

一般感染了A型链球菌,十二个钟头到十天左右可能就会出现身体不舒服的现象。大约有百分之十五的病例不会有任何不舒服的情形,不过,这些不会发病的人,仍可以将病菌传给其他人,而引起其他人发病。因此,当怀疑是A型链球菌感染时,全家人都需要小心评估是否亦被感染而需要好好治疗。

   取喉咙或皮肤的分泌物作细菌培养是最重要的诊断,不过培养需要三天的时间。除了一些必要的症状治疗如退烧药外,对抗细菌治疗最好的药物就是抗生素。没有抗生素的治疗,会引发心脏与肾脏的并发症,而且一旦有心脏病的出现,治疗是漫长而辛苦的。虽然常常闻「抗生素」色变,此时,却是要确确实时的配合医师的用药,不要自行停药,而发生不可恢复的伤害。